儿童股骨头骨骺缺血性坏死( Perthes 病)

什么是 Perthes 病?
Perthes 病临床表现为自发的股骨头骨骺缺血,多为骨骺由单一旋股外侧动脉供血的处于 4~12 岁的儿童患病。每年小于 15 岁儿童的 Perthes 病发病率在 0.0002%~0.0191% 之间。其中双侧髋关节同时发病的约占 15%,但通常双侧受累程度不同。男孩儿的发病率约是女孩儿的 3~4 倍。 该病好发于:低出生体重儿、孕期母亲吸烟、低社会经济人群、白种人。发病儿童多身材矮小、骨龄延缓。Perthes 病是否为单一发病尚未明确。长期随访结果表明:Perthes 病在儿童期平均病程 34 个月,伴随着成年后长期受后遗症影响。
为什么 Perthes 容易漏诊?
骨骼、肌肉系统的异常在儿童中很常见,大多数因外伤所致,不需特殊治疗。在众多有疼痛性或无痛性跛行的患儿中,只有少数可能患有 Perthes 病。因此医生在做诊断时,可能更多的去考虑其他疾病。医学文献表明:尽管疼痛、跛行持续数月,但只有不到一半的 Perthes 病患儿在疾病晚期才被诊断出来。
早期确诊的必要性: Perthes 病未予以治疗干预,将会导致永久的股骨头畸形。继而,在年轻时因早发的髋关节炎而被迫行髋关节置换术。疾病早期进行手术干预,可以提高预后结果。延缓或防止了髋关节炎的发生。
如何诊断 Perthes 病?
临床表现: 当患儿有临床症状时,可以通过 Perthes 病特有的影响学改变来诊断。患儿可以表现为起病隐匿的疼痛或无痛性跛行。疼痛常出现在膝关节,也可出现在髋关节。患侧大腿或臀部肌肉萎缩,伴随同侧下肢外展和内旋受限。患儿俯卧位于检查床,膝关节屈曲。比较两侧髋关节内旋范围。病侧下肢通常内旋范围减少。
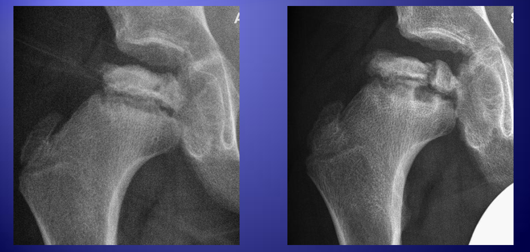
辅助检查: 全血细胞计数、C 反应蛋白、红细胞沉降率可以鉴别化脓性髋关节炎。一过性髋关节滑膜炎在此年龄段的儿童也较为常见。持续跛行的患儿应于 8~12 周后重复拍 X 光片,以鉴别滑膜炎。 大多数情况下,骨盆正位加双髋关节蛙式位 X 光片足以证实诊断。个别处于疾病早期的患儿 X 光片显示正常。特征性影像学表现先后出现于:股骨骺、干骺端、髋臼。Perthes 病的 X 光片表现分为四期,每期持续数月。1 期:股骨骺硬化;2 期:股骨头受压变形;3 期:再生期;4 期:修复期。
Perthes 病如何治疗?
治疗 Perthes 病的目的在于:减少疼痛、增加髋关节活动度、避免不可逆性股骨头畸形的发生。疾病的预后取决于患儿的年龄和疾病分期。患儿疾病 2 期出现股骨头脱位,是较早发展为髋关节炎的危险因素。被诊断为 Perthes 病早期的患儿,通常采取非手术治疗。进行髋关节活动度的训练,鼓励游泳、骑行,避免跳跃。 手术或非手术治疗的选择较为困难。多中心前瞻性队列研究表明:手术治疗(股骨或骨盆截骨)可以使股骨头在发育成熟后具有更好的外形。 因此专家建议对于影像学表现为晚期的患儿采取手术治疗。另有研究表明:“A 形”矫正法适用于所有年龄、分期的患儿,且术后绝大部分患者股骨头有较好的外形。发病较晚或影像学分期显示预后较差的病人,会出现疼痛、关节炎、进行性髋关节功能障碍等长期后遗症。






闽公网安备 35010202000982号
